AZ Hygiena - Péče o zuby a stomatologie

Péče o zuby a ústní hygiena – co opravdu funguje?

Víte, že pravidelný úsměv začíná už venku? Jednoduché kroky, jako výběr správného kartáčku a čištění dvakrát denně, mohou výrazně snížit riziko zubního kamene.

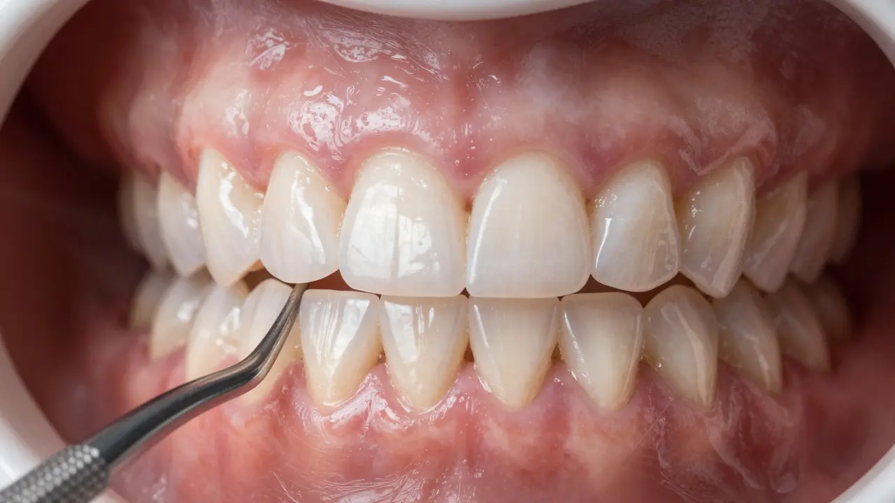
Jak na zubní kámen pod dásní

Domácí dentální nit a mezizubní kartáček pomáhají odstraňovat plak, kde zubní kartáček nezasáhne. Pokud už se objevuje tvrdý kámen, je čas na profesionální čištění.

Prevence zubního kazu

Dostatek fluoridu v pastě a omezení sladkých nápojů jsou základní obrana proti kazu. Sledujte také příznaky – citlivost nebo skvrny na zubu jsou signály, že je čas vyhledat zubaře.

Na stránkách AZ Hygiena najdete další tipy, srovnání sonických kartáčků, rady o implantátech a mnoho dalšího. Vše napsané srozumitelně a prakticky, aby vám pomohlo udržet úsměv zdravý a jasný.

Jak rychle nahradit zub: nejrychlejší možnosti a co vás čeká

Ztratil jste zub? Nečekejte. Rychlé náhrady jako dočasný most, protéza nebo okamžitý implantát mohou zabránit ztrátě kosti a dalším problémům. Co je nejrychlejší a nejlepší pro vás?

Číst více

Jak prasklá zubní sklovina ovlivňuje vaše zdraví? Vše, co potřebujete vědět

Prasklá zubní sklovina není jen estetický problém - může vést k infekci, bolesti a ztrátě zubu. Zjistěte, co se děje uvnitř zubu, jak se prasklina šíří a jak ji efektivně léčit.

Číst více

Alternativy k bělení zubů: Co nabízejí profesionálové a domácí metody?

Víte, že existují lepší a bezpečnější alternativy k bělení zubů než domácí sady? V tom článku se podíváme na profesionální postupy, přírodní metody a OTC produkty, které skutečně fungují. Zjistíte, co je nejlepší pro váš případ a jak vyhnout rizikům.

Číst více

5 mýtů o keramických rovnátkách: Pravda vs Fikce - Expertní odpovědi

Zjistěte pravdu o keramických rovnátkách. Odstraňujeme nejčastější mýty o jejich viditelnosti, odolnosti a účinnosti. Víte, že nejsou neviditelná a léčba trvá stejně jako s kovovými? Podívejte se na skutečné faktory.

Číst více

Jak se léčí parodontální chobot? Úplný průvodce kyretáží zubů a prevencí periodontitidy

Zjistěte, jak probíhá léčba parodontálního chobotu pomocí kyretáže zubů. Článek vysvětluje příčiny, diagnózu, postup léčby a důležité preventivní kroky pro udržení zdravých zubů.

Číst více

Jak zlepšit efektivitu gumiček na rovnátka - praktické tipy pro rychlejší výsledky

Zjistěte, jak správně používat gumičky na rovnátka, aby vaše ortodontická léčba probíhala rychleji a bez komplikací. Praktické tipy pro efektivní nasazení, časté chyby a co dělat, když se gumičky přetrhávají.

Číst více

Jak černý zubní kámen ovlivňuje vaši energii: skutečný vliv na tělo a jak ho odstranit

Černý zubní kámen není jen estetický problém - může způsobovat únavu, zánět a problémy s energií. Zjistěte, jak ho odstranit a proč je to důležité pro celkové zdraví.

Číst více

Jak se dělá Zoubková víla? Všechno, co potřebujete vědět o zubním ztraceném zubu a tradici

Zoubková víla je tradiční zvyk, který pomáhá dětem překonat strach z výměny zubů. Zjistěte, kdy ztrácíte první zuby, co s nimi dělat a proč je tato tradice důležitá pro emocionální vývoj dítěte.

Číst více

Jak fixní rovnátka ovlivňují vaše spánek: co potřebujete vědět

Fixní rovnátka mohou zpočátku rušit spánek bolestí čelisti, změnami dýchání nebo nevolností. Zjistěte, proč se to děje a jak s tím naložit, aby jste mohli spát klidně i během ortodontické léčby.

Číst více

Fixní rovnátka: Co očekávat na kontrolách u ortodonty

Fixní rovnátka potřebují pravidelné kontroly, aby léčba fungovala správně. Zjistěte, co se děje na každé návštěvě u ortodonty, jak se vyhnout zpožděním a proč neváhejte přijít i při poškození.

Číst více