AZ Hygiena - Péče o zuby a stomatologie

Jaký vliv má kouření na dentální hygienu - skutečné důsledky pro zuby a dásně

Jaký vliv má kouření na dentální hygienu - skutečné důsledky pro zuby a dásně

Rizikový kalulátor zubního zdraví pro kuřáky

Tento nástroj vám pomůže odhadnout, jak silně kouření ovlivňuje vaše zubní zdraví. Zadejte své údaje a zjistěte rizikovou úroveň pro zubní kámen, parodontitidu a další problémy. Počítačový výpočet je založen na údajích z vědeckých studií uvedených v článku.

Kouření není jen otázkou zdraví plic - každá cigaretová kouřová mlha poškozuje i vaše zuby a dásně. Mnoho lidí si myslí, že stačí čistit zuby dvakrát denně, aby se vyhnuli problémům. Ale když kouříte, čistota zubů sama o sobě nestačí. Kouření mění strukturu slin, oslabuje imunitu v ústech a způsobuje poškození, které se postupně hromadí - a často už nezjistíte, dokud nebude příliš pozdě.

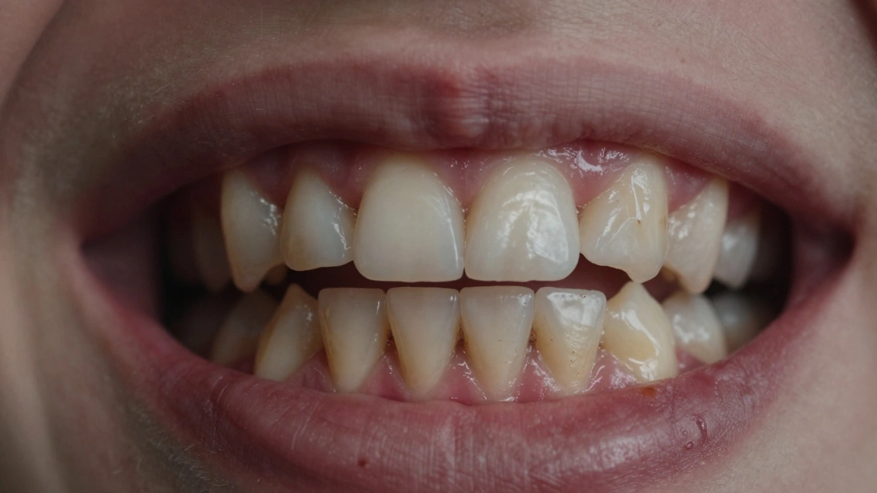
Zubní kámen a tmavé skvrny - první známky

Když kouříte, nikotin a smola se vážou na povrch zubů. To vytváří hnědé nebo černé skvrny, které se neodstraní běžným zubním kartáčkem. Tyto skvrny nejsou jen estetický problém - jsou příznakem, že v ústech probíhá zápalový proces. Zároveň kouření způsobuje, že sliny nejsou tak efektivní jako obvykle. Sliny by měly přirozeně oplachovat zbytky jídla a neutralizovat kyseliny, ale kouření je zahušťuje a snižuje jejich pH. Výsledek? Rychlejší tvorba zubního kamene.

Studie z Journal of Clinical Periodontology ukázaly, že kuřáci mají až třikrát vyšší riziko vzniku zubního kamene než nekuřáci. A tento kámen není jen „špína“ - je to tvrdá vrstva bakterií, která se přilepí k zubům podél dásní a způsobuje jejich odštěpování. Čím déle kouříte, tím více se kámen hromadí - a tím těžší je ho odstranit. I zubní lékař ho nemůže odstranit jen kartáčkem. Vyžaduje to profesionální čištění, často i více návštěv.

Dásně na hraně - když kouření začne ničit podložku zubů

Zubní kámen je jen začátek. Skutečná hrozba přichází z dásní. Kouření způsobuje chronický zánět dásní - tzv. parodontitidu. To není jen krvácení při čištění. Je to progresivní onemocnění, při kterém se tkáně kolem zubů postupně rozpadají. Kostra, která drží zuby na místě, se začne rozpadat - a zuby se začnou hýbat.

Podle dat České zubní společnosti má každý druhý kuřák ve věku 40 a více let nějakou formu parodontitidy. U nekuřáků je to jen jeden z pěti. A co je horší - kouření maskuje příznaky. Dásně nekrvácí tak často, protože nikotin zúží cévy. To znamená, že můžete mít vážné poškození, aniž byste to vůbec věděli. Když se nakonec dásně začnou značně odtahovat a zuby se hýbat, je už příliš pozdě na léčbu. Ztráta zubů je často nevyhnutelná.

Chirurgie a implantace - proč kuřáci mají vyšší riziko selhání

Když se rozhodnete pro implantát, kouření vás přímo diskvalifikuje z hlediska úspěšnosti. Studie z roku 2024 v European Journal of Oral Implantology ukázaly, že kuřáci mají až 50 % vyšší riziko selhání implantátu během prvních 6 měsíců. Proč? Kouření znemožňuje hojení kosti. Implantát potřebuje, aby se kost kolem něj vytvořila - proces, který se jmenuje osteointegrace. Nikotin způsobuje, že krevní oběh v oblasti je omezený, a tím i přísun kyslíku a živin. Kostra se prostě nezahojí správně.

Kromě toho se u kuřáků častěji vyskytují infekce po zákroku. Vrany se hojí pomaleji, vznikají abscesy, a často je třeba implantát odstranit. Mnoho zubních lékařů odmítá provádět implantace kuřákům, pokud nezahájí abstinenční období - a to nejen na několik dní, ale na minimálně 8 týdnů před a po zákroku. Jinak je to jako stavět dům na písčitém podkladu.

Průřez úst s kouřem poškozujícím kost a dásně

Zápach z úst - nejen otrava, ale signál těla

Zápach z úst u kuřáků není jen „cigaretový dech“. Je to kombinace smoly, suchosti, bakterií a zánětu. Kouření snižuje produkci slin - a sliny jsou přirozeným čističem. Když je jejich množství nízké, bakterie se množí. A tyto bakterie vyrábějí těkavé sírové sloučeniny, které mají charakteristický hnilobný zápach. To není jen nepříjemné - je to přímý signál, že vaše ústní mikrobiom je v narušeném stavu.

Problém je, že mnoho kuřáků si myslí, že žvýkačky nebo ústní vody vyřeší problém. Ale to jen zakrývá příčinu. Zápach zůstává, dokud neodstraníte základní problém - kouření a jeho dopady na dásně. I když se vám podaří přestat kouřit, může trvat několik měsíců, než se zápach zcela vytratí - protože tělo potřebuje čas na regeneraci.

Co můžete dělat, když kouříte?

Nemusíte přestat kouřit hned dnes, ale můžete snížit škodu. Nejprve - zvýšte frekvenci návštěv zubního lékaře. Kuřáci potřebují profesionální čištění každých 3-4 měsíce, ne každých 6. Dále - používejte zubní kartáček s měkkými štětinami a čistěte mezi zuby každý den. Mezizubní kartáčky nebo nit jsou klíčové, protože kouření zvyšuje riziko zánětu právě v těchto oblastech.

Nezapomínejte na jazyk. Bakterie se hromadí i na jazyku - a to je často hlavní zdroj zápachu. Používejte jazykový škrabák. A pokud máte možnost, zvážte použití speciálních zubních past, které obsahují chlorhexidin nebo zink - tyto látky pomáhají omezit růst bakterií.

Největší vliv ale má jedna věc: přestat kouřit. Každý den bez cigaret je krok k lepšímu zdraví úst. Po 6 měsících bez kouření se už způsob odbourávání dásní zpomalí. Po roce se zlepší hojení po zákrocích. A po 3 letech je riziko parodontitidy stejné jako u nekuřáka.

Implantát v nezahojené kosti s kouřem v okolí

Když přestanete kouřit - co se stane s vašimi zuby?

Nejde jen o to, že se zastaví další poškozování. Tělo se začne samozřejmě obnovovat. Po 3-6 měsících se zpomalí tvorba zubního kamene. Dásně se začnou zase trochu zahojovat - i když ne vždy zcela. Zápach z úst se výrazně zlepší. A pokud jste měli zubní kámen, po čištění se zuby stanou světlejší - alespoň do té míry, do jaké je to možné.

Někteří lidé si myslí, že když přestanou kouřit, jejich zuby se „vybílí“ samy. To není pravda. Zbarvení způsobené kouřením je většinou trvalé. Potřebujete estetické čištění nebo bleaching - ale alespoň už nebudete přidávat nové skvrny. A to je velký krok.

Největší změna přichází z dásní. Když přestanete kouřit, vaše imunitní systém se vrátí do normálu. Tělo začne lépe bojovat proti infekcím. Krvácení dásní se zmenší. Zuby se začnou držet pevněji. A to je to, co opravdu záleží - ne estetika, ale stabilita.

Co se stane, když nepřestanete?

Pokud budete pokračovat v kouření, budete postupně ztrácet zuby. Ne nutně hned - ale pravděpodobnost, že v 50 letech budete mít méně než 15 vlastních zubů, je u kuřáků téměř 40 %. U nekuřáků je to 12 %. To není jen otázka kvality života - je to i otázka nákladů. Náhrada zubů, implantáty, protézy - to vše stojí tisíce eur. A většina z nich se nevrátí, pokud budete kouřit dál.

Kouření není jen rizikový faktor - je to přímá příčina destrukce ústní dutiny. A když se to stane, neexistuje žádná past, žádný nápoj, žádná návštěva lékaře, která by to opravila. Jediná cesta ven je přestat kouřit. Neznamená to, že musíte být perfektní. Ale každý den bez cigaret je výhoda - pro vaše zuby, pro vaše dásně, pro vaše celkové zdraví.

Může kouření způsobit rakovinu ústní dutiny?

Ano. Kouření je jedním z největších rizikových faktorů pro rakovinu ústní dutiny, hltanu a hrtanu. Kombinace kouření s alkoholem zvyšuje riziko až 30krát. První příznaky mohou být nezahojující rány, nevysvětlitelné krvácení, bolest nebo změna hlasu. Pokud máte tyto příznaky déle než 2 týdny, je nutné okamžitě navštívit zubního lékaře nebo odborníka na onkologii.

Je lepší kouřit jen pár cigaret denně?

Ne. I nízké dávky kouření zvyšují riziko parodontitidy, zubního kamene a ztráty zubů. Studie ukazují, že lidé, kteří kouří jen 1-5 cigaret denně, mají stále o 50-70 % vyšší riziko ztráty zubů než nekuřáci. Neexistuje bezpečná hranice - každá cigareta má svůj dopad.

Jak dlouho trvá, než se zuby zlepší po přestání kouřit?

První zlepšení se objeví během 3-6 měsíců: krvácení dásní se sníží, zápach z úst zmizí a sliny se vrátí k normálnímu výdeji. Po roce se zpomalí ztráta kosti kolem zubů. Po 3 letech se riziko parodontitidy blíží úrovni nekuřáků. Ale trvalé zbarvení zubů a pokročilá poškození dásní se neodstraní samy - vyžadují odbornou péči.

Mohu používat elektrický kartáček, když kouřím?

Ano, elektrický kartáček je dokonce doporučený. Výzkumy ukazují, že elektrické kartáčky odstraňují o 20-30 % více plaku než ruční. To je zvláště důležité pro kuřáky, kteří mají větší množství plaku a zubního kamene. Důležité je ale používat správnou techniku - nejen držet kartáček, ale procházet jím po každém zubu a mezi zuby.

Je nějaká výživa, která pomůže zubům při kouření?

Ano. Vitamín C podporuje hojení dásní - jeho nedostatek je běžný u kuřáků. Doporučuje se zvýšit příjem ovoce a zeleniny, zejména citrusů, papriky a brokolice. Kalcium a vitamín D pomáhají udržet kosti kolem zubů pevné. Vyhýbejte se cukru a kyselým nápojům - ty zhoršují zánět. Příjem vody také pomáhá vypláchnout bakterie a zlepšit výrobu slin.

Pokud kouříte, vaše zuby a dásně nejsou jen „znečištěné“. Jsou v boji o přežití. Každá cigaretová kouřová mlha je krok k tomu, aby vaše ústa přestala být domovem pro zuby. A to je něco, co se nedá vrátit - pokud nezahájíte změnu už dnes.

Napsáno Radovan Krejčí

Jsem stomatolog se specializací na preventivní péči a léčbu zubů. V současné době pracuji v soukromé praxi v Olomouci. Rád sdílím své znalosti a zkušenosti psaním článků o správné péči o zuby a ústní hygieně. Angažuji se také v osvětových projektech zaměřených na zdraví ústní dutiny u dětí a dospělých. Mým cílem je pomoci lidem udržet si zdravý úsměv.

Vše od autora: Radovan Krejčí